A luxação de quadril em cães: prevenção e casos comuns

A luxação do quadril é uma das lesões mais comuns em cães e em gatos. No artigo a seguir, vamos aprender um pouco mais sobre suas causas, prevenção e tratamento, a fim de garantir o bem-estar de nosso bicho de estimação.
O que é uma luxação do quadril e quais são as suas principais causas?
Essa lesão acontece quando há o deslocamento da articulação do quadril do animal.
Ocorre por causa de um desvio da cabeça do fêmur, que se desloca da parte côncava da articulação, também denominada acetábulo.
Sua origem é, acima de tudo, traumática, e ocorre geralmente em torno dos 11 ou 12 meses da vida do animal.
O poodle, ou pastor alemão, tem uma maior predisposição a sofrer dessa lesão. É mais comum em cães grandes e de médio porte, uma vez que costumam sofrer de displasia de quadril precoce, fato que aumenta o risco de sofrerem uma luxação.

A displasia do quadril é definida como um encaixe errado das cabeças femorais com a parte côncava da articulação.
Isso causa inflamação, dor e estresse no animal de estimação. Além disso, pode debilitar tanto a articulação quanto os tecidos ao redor.
É comum que haja um deslocamento devido à fraqueza desses tecidos.
Sintomas e diagnóstico
A luxação dos quadris é uma lesão dolorosa que afeta a mobilidade das patas e o equilíbrio do cão.
As patas do animal que sofre com o problema costumam ficar tortas para dentro ou para fora, dependendo do tipo de luxação que ele apresente.
Nos casos mais comuns, a cabeça femoral fica deslocada para fora.
As lesões derivadas dos tecidos circundantes são frequentes nos casos de luxação de quadril.
Por isso, é urgente levarmos o nosso bicho de estimação a um veterinário para submetê-lo tanto a um exame geral quanto a um exame ortopédico.
Se estivermos diante de uma lesão de origem traumática, temos que levar em consideração que a força necessária para produzir uma luxação do quadril é muito grande. Por isso, é provável que a bexiga, os pulmões e outros órgãos tenham sofrido danos. A fim de determinar possíveis problemas decorrentes de uma luxação, recomenda-se um diagnóstico adicional.

De acordo com o Colégio Americano de Cirurgiões Veterinários, os exames de diagnóstico mais comuns para detectar e diagnosticar possíveis lesões são os seguintes:
- Exame de sangue. Eles podem nos ajudar a saber o estado dos órgãos do animal e a presença de infecções, caso o nosso bichinho tenha uma ferida aberta causada pelo traumatismo.
- Radiografias de quadril para examinar o ângulo de deslocamento e outros possíveis danos na articulação.
- Radiografias adicionais do peito, da coluna vertebral ou do abdômen, caso a luxação tenha sido provocada por uma pancada forte.
Tratamento da luxação do quadril em cães
- Uma redução não cirúrgica, também conhecida como redução fechada, da articulação do quadril. Esse procedimento cirúrgico, que será realizado pelo veterinário com a aplicação de anestesia geral, deve ser feito três ou quatro dias depois da lesão.
- Uma redução cirúrgica que permita o tratamento dos tecidos danificados e dar apoio adicional através de implantes comuns. Trata-se de uma técnica mais invasiva que exige um período pós-operatório, algo comum em procedimentos cirúrgicos.
- A osteotomia da cabeça femoral. Trata-se da remoção da cabeça do fêmur para criar uma “falsa” articulação, diante da impossibilidade de tratar a lesão utilizando técnicas mais conservadoras. Acontece alguma perda de mobilidade no animal, mas é eliminado completamente o risco dele voltar a sofrer uma luxação de quadril. Recomenda-se sessões regulares de fisioterapia para melhorar a mobilidade do cão o máximo possível.
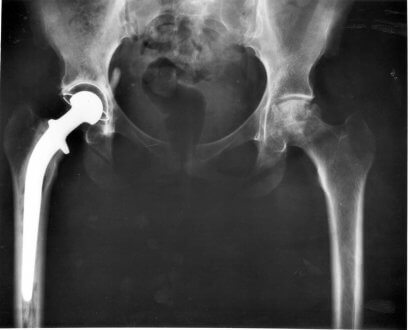
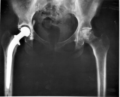
- Substituição total do quadril. Substitui-se a articulação natural por um molde elaborado com materiais sintéticos.
A luxação do quadril é uma das lesões mais comuns em cães e em gatos. No artigo a seguir, vamos aprender um pouco mais sobre suas causas, prevenção e tratamento, a fim de garantir o bem-estar de nosso bicho de estimação.
O que é uma luxação do quadril e quais são as suas principais causas?
Essa lesão acontece quando há o deslocamento da articulação do quadril do animal.
Ocorre por causa de um desvio da cabeça do fêmur, que se desloca da parte côncava da articulação, também denominada acetábulo.
Sua origem é, acima de tudo, traumática, e ocorre geralmente em torno dos 11 ou 12 meses da vida do animal.
O poodle, ou pastor alemão, tem uma maior predisposição a sofrer dessa lesão. É mais comum em cães grandes e de médio porte, uma vez que costumam sofrer de displasia de quadril precoce, fato que aumenta o risco de sofrerem uma luxação.

A displasia do quadril é definida como um encaixe errado das cabeças femorais com a parte côncava da articulação.
Isso causa inflamação, dor e estresse no animal de estimação. Além disso, pode debilitar tanto a articulação quanto os tecidos ao redor.
É comum que haja um deslocamento devido à fraqueza desses tecidos.
Sintomas e diagnóstico
A luxação dos quadris é uma lesão dolorosa que afeta a mobilidade das patas e o equilíbrio do cão.
As patas do animal que sofre com o problema costumam ficar tortas para dentro ou para fora, dependendo do tipo de luxação que ele apresente.
Nos casos mais comuns, a cabeça femoral fica deslocada para fora.
As lesões derivadas dos tecidos circundantes são frequentes nos casos de luxação de quadril.
Por isso, é urgente levarmos o nosso bicho de estimação a um veterinário para submetê-lo tanto a um exame geral quanto a um exame ortopédico.
Se estivermos diante de uma lesão de origem traumática, temos que levar em consideração que a força necessária para produzir uma luxação do quadril é muito grande. Por isso, é provável que a bexiga, os pulmões e outros órgãos tenham sofrido danos. A fim de determinar possíveis problemas decorrentes de uma luxação, recomenda-se um diagnóstico adicional.

De acordo com o Colégio Americano de Cirurgiões Veterinários, os exames de diagnóstico mais comuns para detectar e diagnosticar possíveis lesões são os seguintes:
- Exame de sangue. Eles podem nos ajudar a saber o estado dos órgãos do animal e a presença de infecções, caso o nosso bichinho tenha uma ferida aberta causada pelo traumatismo.
- Radiografias de quadril para examinar o ângulo de deslocamento e outros possíveis danos na articulação.
- Radiografias adicionais do peito, da coluna vertebral ou do abdômen, caso a luxação tenha sido provocada por uma pancada forte.
Tratamento da luxação do quadril em cães
- Uma redução não cirúrgica, também conhecida como redução fechada, da articulação do quadril. Esse procedimento cirúrgico, que será realizado pelo veterinário com a aplicação de anestesia geral, deve ser feito três ou quatro dias depois da lesão.
- Uma redução cirúrgica que permita o tratamento dos tecidos danificados e dar apoio adicional através de implantes comuns. Trata-se de uma técnica mais invasiva que exige um período pós-operatório, algo comum em procedimentos cirúrgicos.
- A osteotomia da cabeça femoral. Trata-se da remoção da cabeça do fêmur para criar uma “falsa” articulação, diante da impossibilidade de tratar a lesão utilizando técnicas mais conservadoras. Acontece alguma perda de mobilidade no animal, mas é eliminado completamente o risco dele voltar a sofrer uma luxação de quadril. Recomenda-se sessões regulares de fisioterapia para melhorar a mobilidade do cão o máximo possível.
- Substituição total do quadril. Substitui-se a articulação natural por um molde elaborado com materiais sintéticos.
Este texto é fornecido apenas para fins informativos e não substitui a consulta com um profissional. Em caso de dúvida, consulte o seu especialista.







