Tudo o que você precisa saber sobre a displasia de quadril em cães

Qualquer dono de um cachorro de tamanho grande geralmente está ciente das chances de que o seu animal de estimação desenvolva a displasia de quadril em algum momento de sua vida. Embora nem sempre seja evitável, existem várias técnicas e tratamentos para resolver esse problema.
O que é e o que causa a displasia de quadril em cães
Em primeiro lugar, para entender o que é e o que causa a displasia de quadril em cães, é essencial conhecer a anatomia básica da articulação do quadril dos cães.
De um modo geral, as articulações funcionam como engrenagens que, devidamente lubrificadas, permitem que os animais vertebrados se movam livremente pelo ambiente.
No caso dos cães, por razões hereditárias, ocorre uma malformação da articulação coxofemoral, isto é, da articulação que une o acetábulo do quadril à cabeça do fêmur. Isso faz com que, em vez de funcionar como uma unidade, exista um atrito entre as partes da articulação conforme elas se movem, causando desgaste e perda da funcionalidade.
Os fatores que influenciam a displasia de quadril em cães são diversos, embora o principal tenha muito a ver com a genética.
As raças maiores são as que correm maior risco de apresentá-la: ela é muito comum, por exemplo, em cães São Bernardo, nos pastores alemães e nos labradores. Outros fatores incluem: crescimento muito rápido, peso inadequado e determinados tipos de exercícios.

Sintomas e tratamento da displasia de quadril em cães
Alguns cães começam a apresentar sintomas desde filhotes, enquanto outros acabam sofrendo com essa condição devido aos danos da idade. Em ambos os casos, os sintomas apresentados pelos animais são semelhantes:
- Dificuldade para se levantar, correr, pular ou subir escadas.
- Perda de energia e agilidade.
- Articulação propensa ao deslocamento.
- Estalos na articulação com o movimento.
- Perda de massa muscular na área da coxa.
- Fortalecimento dos músculos do ombro para compensar a falta de apoio do quadril.
- Dor e rigidez.
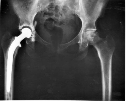
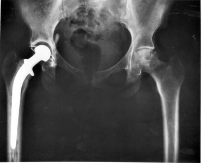
A melhor maneira de confirmar o diagnóstico é levar o seu animal de estimação a um veterinário para que ele faça os exames físicos adequados. Um raio-X geralmente é o exame definitivo para confirmar a displasia de quadril em cães.

Quanto ao tratamento, existem várias técnicas que podem ajudar o seu animal de estimação a recuperar a mobilidade sem cirurgia.
- Uma dieta de baixa caloria que reduza o peso que o quadril precisa suportar.
- Limitar o exercício físico, especialmente em superfícies duras.
- Fisioterapia.
- Analgésicos.
- Modificadores de fluido sinovial.
Entre as operações cirúrgicas que os veterinários podem realizar, há a substituição total ou parcial do quadril.
É melhor prevenir do que remediar
A dieta dos filhotes de tamanho grande é mais importante do que podemos imaginar para prevenir a displasia de quadril em cães. Por exemplo, muitos tipos de ração para cães grandes incluem a glucosamina, um suplemento que pode ajudar a reduzir os sintomas de displasia e artrite canina, recomendado pelo American Kennel Club.

O dono de um cachorro de uma raça grande deve ter em mente que o crescimento excessivamente rápido do filhote pode levar a problemas esqueléticos na idade adulta, muitos dos quais acabam evoluindo para a displasia.
As rações especiais para raças grandes são preparadas para prevenir esse problema, bem como a obesidade. Contudo, a dieta sempre deve estar associada ao exercício em quantidades moderadas.
Qualquer dono de um cachorro de tamanho grande geralmente está ciente das chances de que o seu animal de estimação desenvolva a displasia de quadril em algum momento de sua vida. Embora nem sempre seja evitável, existem várias técnicas e tratamentos para resolver esse problema.
O que é e o que causa a displasia de quadril em cães
Em primeiro lugar, para entender o que é e o que causa a displasia de quadril em cães, é essencial conhecer a anatomia básica da articulação do quadril dos cães.
De um modo geral, as articulações funcionam como engrenagens que, devidamente lubrificadas, permitem que os animais vertebrados se movam livremente pelo ambiente.
No caso dos cães, por razões hereditárias, ocorre uma malformação da articulação coxofemoral, isto é, da articulação que une o acetábulo do quadril à cabeça do fêmur. Isso faz com que, em vez de funcionar como uma unidade, exista um atrito entre as partes da articulação conforme elas se movem, causando desgaste e perda da funcionalidade.
Os fatores que influenciam a displasia de quadril em cães são diversos, embora o principal tenha muito a ver com a genética.
As raças maiores são as que correm maior risco de apresentá-la: ela é muito comum, por exemplo, em cães São Bernardo, nos pastores alemães e nos labradores. Outros fatores incluem: crescimento muito rápido, peso inadequado e determinados tipos de exercícios.

Sintomas e tratamento da displasia de quadril em cães
Alguns cães começam a apresentar sintomas desde filhotes, enquanto outros acabam sofrendo com essa condição devido aos danos da idade. Em ambos os casos, os sintomas apresentados pelos animais são semelhantes:
- Dificuldade para se levantar, correr, pular ou subir escadas.
- Perda de energia e agilidade.
- Articulação propensa ao deslocamento.
- Estalos na articulação com o movimento.
- Perda de massa muscular na área da coxa.
- Fortalecimento dos músculos do ombro para compensar a falta de apoio do quadril.
- Dor e rigidez.
A melhor maneira de confirmar o diagnóstico é levar o seu animal de estimação a um veterinário para que ele faça os exames físicos adequados. Um raio-X geralmente é o exame definitivo para confirmar a displasia de quadril em cães.

Quanto ao tratamento, existem várias técnicas que podem ajudar o seu animal de estimação a recuperar a mobilidade sem cirurgia.
- Uma dieta de baixa caloria que reduza o peso que o quadril precisa suportar.
- Limitar o exercício físico, especialmente em superfícies duras.
- Fisioterapia.
- Analgésicos.
- Modificadores de fluido sinovial.
Entre as operações cirúrgicas que os veterinários podem realizar, há a substituição total ou parcial do quadril.
É melhor prevenir do que remediar
A dieta dos filhotes de tamanho grande é mais importante do que podemos imaginar para prevenir a displasia de quadril em cães. Por exemplo, muitos tipos de ração para cães grandes incluem a glucosamina, um suplemento que pode ajudar a reduzir os sintomas de displasia e artrite canina, recomendado pelo American Kennel Club.

O dono de um cachorro de uma raça grande deve ter em mente que o crescimento excessivamente rápido do filhote pode levar a problemas esqueléticos na idade adulta, muitos dos quais acabam evoluindo para a displasia.
As rações especiais para raças grandes são preparadas para prevenir esse problema, bem como a obesidade. Contudo, a dieta sempre deve estar associada ao exercício em quantidades moderadas.
Este texto é fornecido apenas para fins informativos e não substitui a consulta com um profissional. Em caso de dúvida, consulte o seu especialista.







